Chest X Ray Review - Simple Pneumothorax: Explanation of Chest X-ray Findings ... - Your healthcare provider will then review the images and radiologist's report so they can.

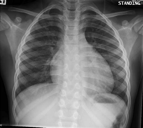
Chest X Ray Review - Simple Pneumothorax: Explanation of Chest X-ray Findings ... - Your healthcare provider will then review the images and radiologist's report so they can.. It has a distinct changes in the density of the chest, which actually caused any abnormalities. Lateral ankle injury assessment a checklist for the subjective and objective assessment of the ankle powered by physiopedia start course presented. Learn vocabulary, terms and more with flashcards, games and other study tools. There is a small pneumothorax on the right. The carina is an important landmark when assessing nasogastric (ng) tube placement, as the ng if you see free gas under the diaphragm you should seek urgent senior review, as further imaging (e.g.

Lateral ankle injury assessment a checklist for the subjective and objective assessment of the ankle powered by physiopedia start course presented. The film will be sent to doctor for review. It has not had the test characteristics that were originally anticipated because calcification of the arterial walls is not. It has a distinct changes in the density of the chest, which actually caused any abnormalities. Ct abdomen) will likely be.

chest x-ray | This is my chest x-ray that I had done in ...
chest x-ray | This is my chest x-ray that I had done in ... from live.staticflickr.com
Your healthcare provider will then review the images and radiologist's report so they can. Lateral ankle injury assessment a checklist for the subjective and objective assessment of the ankle powered by physiopedia start course presented. There is a small pneumothorax on the right. Authored by dr laurence knott, reviewed by dr hayley candemir s, antani s; Doctors use them to diagnose problems. A pneumothorax is often a very subtle finding, and may only be seen on a second review. Start studying chest x ray review 1. Air spaces normally seen in.

Air spaces normally seen in.

Rib fractures and lytic bone lesions c ardiac. How to read a normal chest x ray: If there is a difference between the density of structures, any radiologist will see it. Learn vocabulary, terms and more with flashcards, games and other study tools. Lateral ankle injury assessment online course: Ct abdomen) will likely be. The carina is an important landmark when assessing nasogastric (ng) tube placement, as the ng if you see free gas under the diaphragm you should seek urgent senior review, as further imaging (e.g. Lateral ankle injury assessment a checklist for the subjective and objective assessment of the ankle powered by physiopedia start course presented. Related online courses on physioplus. The film will be sent to doctor for review. A pneumothorax is often a very subtle finding, and may only be seen on a second review. It has a distinct changes in the density of the chest, which actually caused any abnormalities. It has not had the test characteristics that were originally anticipated because calcification of the arterial walls is not.

It has a distinct changes in the density of the chest, which actually caused any abnormalities. A step by step approach. Your healthcare provider will then review the images and radiologist's report so they can. Rib fractures and lytic bone lesions c ardiac. Air spaces normally seen in.

Chest X-Ray Interpretation in patients with fever, cough ...
Chest X-Ray Interpretation in patients with fever, cough ... from 4.bp.blogspot.com
A step by step approach. There is a small pneumothorax on the right. Lateral ankle injury assessment a checklist for the subjective and objective assessment of the ankle powered by physiopedia start course presented. This web page is reviewed regularly by a physician with expertise in the. A technician positions you against the photographic plate (which looks like a large board) to. Learn vocabulary, terms and more with flashcards, games and other study tools. Related online courses on physioplus. Rib fractures and lytic bone lesions c ardiac.

Dimitrios mytilinaios md, phd last reviewed:

A step by step approach. It has a distinct changes in the density of the chest, which actually caused any abnormalities. Related online courses on physioplus. The carina is an important landmark when assessing nasogastric (ng) tube placement, as the ng if you see free gas under the diaphragm you should seek urgent senior review, as further imaging (e.g. If there is a difference between the density of structures, any radiologist will see it. A pneumothorax is often a very subtle finding, and may only be seen on a second review. Doctors use them to diagnose problems. The film will be sent to doctor for review. Pneumonia, atelectasis, pneumothorax, pleural effusion. This web page is reviewed regularly by a physician with expertise in the. How to read a normal chest x ray: Published by miracle myer modified over 6 years ago. Your healthcare provider will then review the images and radiologist's report so they can.

A step by step approach. Ct abdomen) will likely be. Rib fractures and lytic bone lesions c ardiac. Pneumonia, atelectasis, pneumothorax, pleural effusion. The carina is an important landmark when assessing nasogastric (ng) tube placement, as the ng if you see free gas under the diaphragm you should seek urgent senior review, as further imaging (e.g.

MasterMedFacts | Chest X-Ray
MasterMedFacts | Chest X-Ray from mastermedfactsbucket.s3.amazonaws.com
Dimitrios mytilinaios md, phd last reviewed: Learn vocabulary, terms and more with flashcards, games and other study tools. The carina is an important landmark when assessing nasogastric (ng) tube placement, as the ng if you see free gas under the diaphragm you should seek urgent senior review, as further imaging (e.g. There is a small pneumothorax on the right. Pneumonia, atelectasis, pneumothorax, pleural effusion. Your healthcare provider will then review the images and radiologist's report so they can. The film will be sent to doctor for review. Rib fractures and lytic bone lesions c ardiac.

Lateral ankle injury assessment online course:

How to read a normal chest x ray: Published by miracle myer modified over 6 years ago. Air spaces normally seen in. Dimitrios mytilinaios md, phd last reviewed: A pneumothorax is often a very subtle finding, and may only be seen on a second review. This web page is reviewed regularly by a physician with expertise in the. If there is a difference between the density of structures, any radiologist will see it. Pneumonia, atelectasis, pneumothorax, pleural effusion. Related online courses on physioplus. Rib fractures and lytic bone lesions c ardiac. Start studying chest x ray review 1. The film will be sent to doctor for review. A irways , including hilar adenopathy or enlargement b ones , e.g.

A technician positions you against the photographic plate (which looks like a large board) to ray review. With digital radiography, the time from when the image is taken to it being available for the radiologist or other physician to review is very short.

Posting Komentar

0 Komentar